☆;+;。・゚・。;+;☆;+;。・゚・。;+;☆;+;。・゚・。;+;☆;+;。・゚・。;+;
練馬区の歯医者ゆうかデンタルクリニック
練馬区高野台5-19-11
0120-954-001
9:00~13:00、15:00~19:00
休診日:金曜日
☆;+;。・゚・。;+;☆;+;。・゚・。;+;☆;+;。・゚・。;+;☆;+;。・゚・。;+;
練馬区の歯医者。ゆうかデンタルクリニック/DH*blog
練馬区の歯医者@ゆうかデンタルクリニック歯科衛生士Megumiの日記
練馬区の歯医者|ゆうかデンタルクリニックChisa's Blog
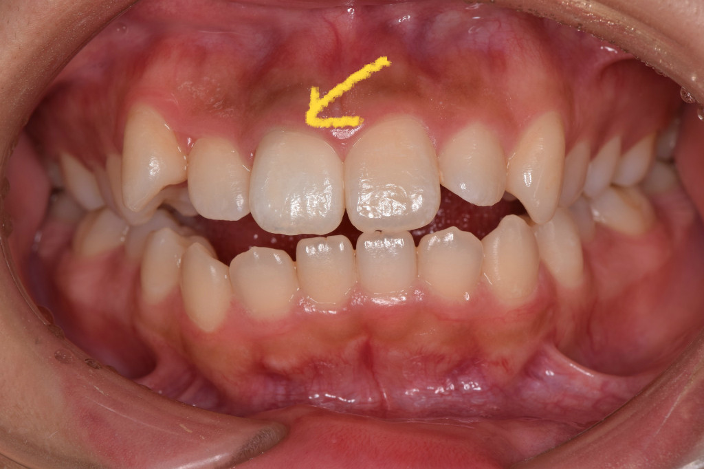
「歯の漂白」といいますと、一般的にはホワイトニングをさしますが、
今回は、「神経がない歯の漂白」=walking bleachをご紹介いたします。
神経がない歯は徐々に歯の色が変わっていき、グレーっぽくなってしまいます。

前歯だと気になりますよね。
そこで、歯の裏から漂白する薬剤をいれること、1週間後。

こんなに綺麗に白くなりました。
お悩みの方は、是非に!
(患者様にご了承の上、ブログに載せさせて頂きました)





